Pulmonary Tuberculosis (PTB)
Causes
- PTB is caused by Mycobacterium tuberculosis. It is spread via droplets expelled by an infected person, who generally coughs or sneezes the bacteria into the air to be breathed in by others. It is extremely contagious.
Symptoms
- PTB is characterized by coughing, which often produces phlegm or even blood, night sweats, chronic fatigue, a fever and unexpected weight loss. Patients may also find themselves unable to breathe very effectively or suffering from chest pain
Pneumonia
Pneumonia is an infection of the lungs that is caused by bacteria, viruses, fungi, or parasites.
Symptoms
- Cough. You will likely cough up mucus (sputum) from your lungs. Mucus may be rusty or green or tinged with blood.
- Fever.
- Fast breathing and feeling short of breath.
- Shaking and "teeth-chattering" chills. You may have this only one time or many times.
- Chest pain that often feels worse when you cough or breathe in.
- Fast heartbeat.
- Feeling very tired or feeling very weak.
- Nausea and vomiting.
- Diarrhea.
Cardiomegaly
A heart condition that causes the heart to become larger than normal as a result of heart disease. Cardiomegaly is most often linked to high blood pressure, but it can also occur as a result of other heart conditions, such as congestive heart failure, and other non-cardiac causes such as long-term anemia.
Symptoms:
In some people, an enlarged heart causes no signs or symptoms. Others may have these signs and symptoms:
- Shortness of breath
- Dizziness
- Abnormal heart rhythm (arrhythmia)
- Swelling (edema)
- Cough
- Chest pain
Pneumothorax
A pneumothorax is a collection of free air in the chest cavity (thoracic cavity) that causes the lung to collapse.
Symptoms of pneumothorax
The major symptoms of a spontaneous pneumothorax are:
- the sudden onset of chest pain
- and/or shortness of breath
Dextrocardia
is a state in which heart is situated on the right side of the body rather than the left. It could be since birth caused due to a disease or may be surgery
Symptoms
Incase the heart functions normally there are no symptoms for dextrocardia, but certain conditions may cause the symptoms mentioned below:
Incase the heart functions normally there are no symptoms for dextrocardia, but certain conditions may cause the symptoms mentioned below:
- Difficulty in breathing
- Bluish skin
- Failure to gain weight and stagnant growth
- Jaundice (yellow eyes and skin)
- Fatigue
- Constant lung infections or sinus
- Pale skin (pallor)
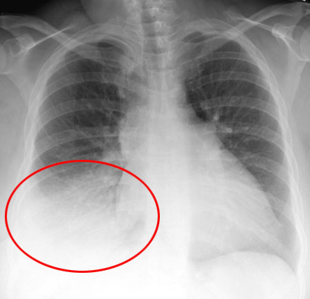
Pleural effusion
A pleural effusion is an abnormal amount of fluid around the lung. Pleural effusions can result from many medical conditions. Most pleural effusions are not serious by themselves, but some require treatment to avoid problems.
Symptoms of Pleural Effusions
Pleural effusions often cause no symptoms. Symptoms are more likely when a pleural effusion is moderate or large-sized, or if inflammation is present. Symptoms of pleural effusions may include:
- Shortness of breath
- Chest pain, especially on breathing in deeply (pleurisy, or pleuritic pain)
- Fever
- Cough
Chronic obstructive pulmonary disease (COPD)
COPD is a lung disease that makes it hard to breathe. It is caused by damage to the lungs over many years, usually from smoking.
The main symptoms are:
- A long-lasting (chronic) cough.
- Mucus that comes up when you cough.
- Shortness of breath that gets worse when you exercise.
.jpg)






No comments:
Post a Comment